当院では、患者さまのライフスタイルに合わせて選択できるようにマウスピース矯正もご用意しています。天然歯に勝る修復物(被せ物やインプラント)はありませんので、健康な歯を並べて整える矯正治療で歯並びを改善しませんか?
他院でのマウスピース矯正の結果に満足できていない方の相談も受け付けております。
マウスピース矯正とは?


歯型の透明トレー装置を一定期間、装着することで歯並びを改善することが可能な矯正歯科装置です。目立ちにくくご自分で取り外しができるため、矯正前と変わらない食事や歯磨きの時間をお過ごしいただけます。装置は2週間ごとにご自分で新しいものへ交換していただく必要があります。当院ではクリアアライナーと呼ばれる装置を採用しています。
マウスピース矯正の特長
- 痛くない
- 目立たない
- 取り外せる
という3点が挙げられます。
固定式ワイヤー矯正よりも痛みがほとんどなく、ご自分で容易に取り外しが可能なので患者さまのご負担が軽減されます。また、矯正前と同じように食事や会話を楽しむことができたり、歯磨きを普段通り行ったりしていただけます。
さらに、マウスピース矯正治療の途中でも、むし歯の治療など一般歯科治療も当院で一括・スムーズに行えます。
※ワイヤー矯正治療中でも、むし歯治療は行えますが、むし歯の状態によっては一時的に装置を外すこともあるため、場合によっては治療が遅れることもあります。
マウスピース矯正のメリット・デメリット
メリット
- 透明素材なので他人から気づかれにくいです
- 金属部品を使用しないため、金属アレルギーの方でも安心です
- 取り外し式のため、食事もストレスなく普段通り美味しくいただけます
- 歯磨きは矯正前と変わらず、普段通り行えます
- 取り外して洗浄できるため、清潔に保てます
デメリット
- 1日20時間以上、装着しないと効果は得られません
- 破損や破折に注意が必要です
- 全ての症例に適応する方法ではありません
※比較的軽度な症状の前歯の矯正治療(乱杭歯や空隙のある歯列の閉鎖等)となります
マウスピース矯正
治療の流れと期間
通院と型取り
当院ではカウンセリングや精密検査を終えて、マウスピース矯正治療が可能と診断された場合のみ、クリアアライナー(マウスピース矯正装置)を製作いたします。
装置のお渡し・治療開始
装置が出来上がりましたら、封入りで装置をお渡しします。ご自分で装置を着脱していただく必要があるため、自己管理が大切です。はじめは取り扱い方法を医院でご説明しますのでご安心ください。
- 装着時間は、20時間以上が基本です。食事や歯磨き以外の時間は、なるべくマウスピース装置を装着していただくことで効果が得られます。
- マウスピースは、来院毎に次の型取りを行います。矯正プランや歯の状態に合わせて緻密に設計・調整する事が可能です。
- 治療期間はワイヤー矯正とほとんど同等で、1.5~2年くらいが目安です。
治療終了・保定期間
歯並びが整ったら保定の期間に移行します。取り外し式もしくは一部固定式(歯の裏側)の保定装置(リテーナー)を使用して歯並びを安定させます。基本的にはリテーナーは透明なもの、もしくは歯の裏に付ける細い固定ワイヤーになります。
当院マウスピース矯正の症例
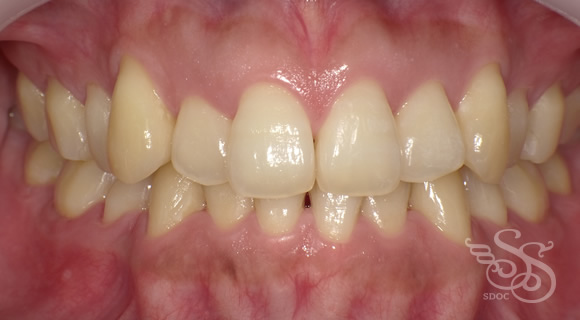
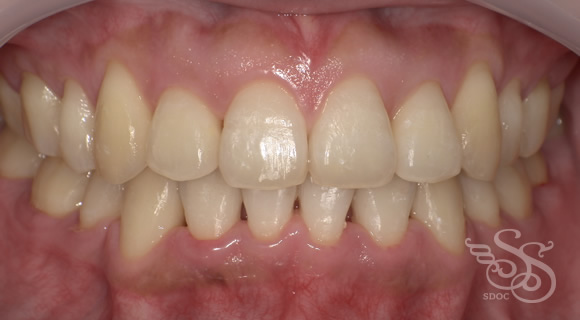
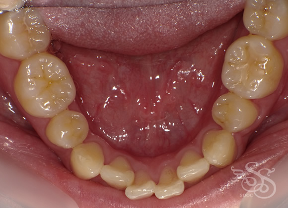
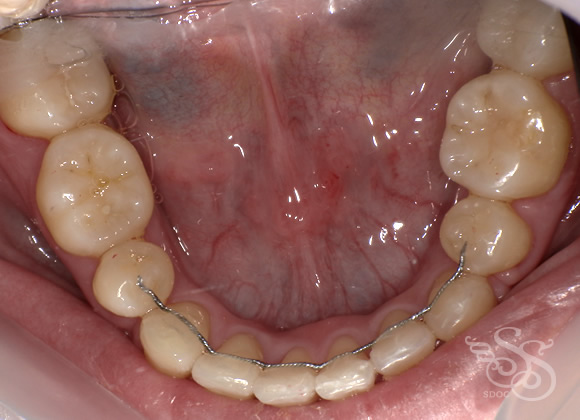
叢生(ガタガタの歯並び)

術前

術後

術前

術後

術前

術後
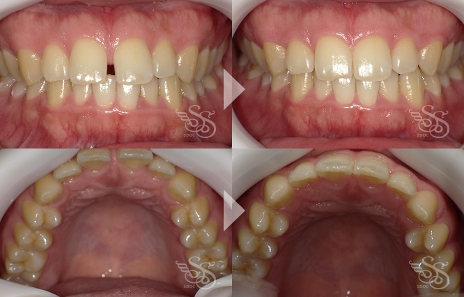
前歯の部分矯正(正中離開)

20代男性の患者さま
前歯の隙間をどうにかしたいとnet経由で来院されました。
マウスピース矯正をご希望でしたので、上顎のみマウスピースで隙間を閉じてみました。
治療期間4か月です。
上顎のみマウスピース矯正(最後2か月のみワイヤー装着)

30代女性の患者さま
前歯をどうにかしたいとnet経由で来院されました。
上顎のみマウスピース矯正、最後2か月のみワイヤーを入れさせて頂きました。
治療期間14か月です。
クリアアライナーの注意事項
取り外しと装着時間
食事中はクリアアライナーを取り外しましょう。装置を装着したまま飲食すると破損やむし歯のリスクが高まります。また、睡眠時間も含め1日20時間は装着してください。装着することを忘れていた場合は速やかに装着しましょう。
破損や紛失
現時点で使用中のクリアアライナーの装置を紛失や破損した場合は、早めに歯科医院へご連絡ください。場合によっては、ひとつ前の装置を一時的に装着していただくことがありますので、ひとつ前の装置は捨てずに保管しておくと安心です。
清掃
クリアアライナーは透明で薄い装置となっておりますので、破損に注意しながら毎日清掃を行いましょう。歯磨き中に装置を外した際には、研磨剤入りの歯磨き粉は使用せずに流水下で清掃すると清潔に保てます。
※矯正再治療の場合は装置料を優遇しています。
また、兄弟割、親子割がありますのでご家族でぜひ通院ください。
(高校生以上の方で、親子や兄弟が同時期に矯正治療しているケースに限る)
マウスピース矯正についてはお気軽にご相談ください。





