当院では「笑うと銀歯が見えて気になる」「歯や歯ぐきの色が気になる」「笑顔に自信を持ちたい」と悩みの方へ審美歯科治療を行っております。ご希望に合わせ、歯の白さや歯並びの美しさを追求することができます。短期間で美しい歯を手に入れられる審美歯科で理想のお口元を目指しませんか?
被せ物(クラウン)の種類
オールセラミック
白く透明感のあるセラミック(陶器)を使用した被せ物です。
メリット
- 天然歯のような白い見た目を手に入れられる
- 歯並びやかみ合わせの改善にも利用できる
- メタルフリーのため歯ぐきの変色や金属の露出などがない
- 金属アレルギーの方も安心して装着できる
デメリット
- 歯を削る量が比較的多い
- 強い力で欠けたり割れたりする
- 保険外の治療なので、値段が高い
オールジルコニア(臼歯)(ジルコニア単体)
「人工ダイヤモンド」と呼ばれることもあるほど、強度と耐久性に優れた素材で製作した被せ物です。
メリット
- 強度と耐久性に優れているため奥歯に使用できる
- メタルフリーのため歯ぐきの変色や金属の露出などがない
- 金属アレルギーの方も安心して装着できる
メリット
- 透明感がなく審美性に劣る
- 硬い素材のため噛み合う天然歯がすり減ることがある
- 保険外の治療なので、値段が高い
ハイトランスジルコニア(前歯/臼歯)(ジルコニア+ステイン)
強度と耐久性に加えて、ジルコニア単体では難しい透明度を高めた被せ物です。
メリット
- 強度と耐久性に優れている
- 透明度があり天然歯に近い見た目を再現できる
- メタルフリーのため歯ぐきの変色や金属の露出などがない
- 金属アレルギーの方も安心して装着できる
メリット
- 保険外の治療なので、値段が高い
ジルコニアボンド(前歯)(ジルコニア+セラミック)
ジルコニアでできた「被せ物」外部を、天然歯のようなグラデーションを出しながらセラミックを焼き付けて作られた被せ物です。
メリット
- 強度と耐久性に優れている
- 天然歯のようなグラデーションのある見た目を再現できる
- メタルフリーのため歯ぐきの変色や金属の露出などがない
- 金属アレルギーの方も安心して装着できる
メリット
- 保険外の治療なので、値段が高い
- 奥歯には適していない
E-max(前歯/小臼歯)
透明度が高く強度も優れている被せ物です。
メリット
- ガラスセラミックスのため摩耗しにくい
- 色素が付着しにくく、変色がない
- メタルフリーのため歯ぐきの変色や金属の露出などがない
- 金属アレルギーの方も安心して装着できる
メリット
- 透明度が高いため天然歯が黄色いと黄ばんで見える
- 強い力でかける可能性がある
- 保険外の治療なので、値段が高い
メタルボンド(前歯/臼歯/スパンのあるブリッジ)(白金コーピング)
金属でできた「被せ物」の外部を、白く透明感のあるセラミックで覆った被せ物です。
メリット
- 表面硬度が高く、摩耗しにくい
- 色素が付着しにくく、変色がない
メリット
- 歯ぐきや歯が黒ずんで見えることがある
- オールセラミックに比べて、透明感のある歯にはならない
- 保険外の治療なので、値段が高い
ゴールド(臼歯)
セラミックやジルコニアのように白色ではなく金色の被せ物です。
メリット
- 銀歯のように金属が溶け出すことはほとんどない
- 歯ぎしりや食いしばりが強い方でも割れる心配はない
- 歯への適合性がよくむし歯の再発リスクが少ない
メリット
- 見た目が目立つ
- 保険外の治療なので、値段が高い
*歯内療法処置歯の場合、別途コア(支台)築造費11,000円が必要になります。
詰め物(インレー)の種類
ジルコニアインレー(2面or3面)
「人工ダイヤモンド」と呼ばれることもあるほど強度と耐久性に優れた素材で製作した詰め物です。
メリット
- 強度や耐久性に優れている
- 金属アレルギーの方も安心して利用できる
- 歯ぎしりや食いしばりのある方でも割れにくい
メリット
- 保険外治療のため、値段が高い
- 硬い素材のため噛み合う歯がすり減るリスクがある
ゴールドインレー
金で製作した詰め物です。
メリット
- 歯と適合性がよくむし歯の再発リスクを低減できる
- 伸びが良くぴったりと適合するため割れる心配がない
- 銀歯のように金属が溶け出す心配がほとんどない
メリット
- 保険外治療のため、値段が高い
- 見た目が目立つ
ラミネートべニア
歯の表面を薄く削り、白いセラミックを貼り付ける治療方法です。爪に付けるネイルチップのような感覚で治療ができます。
- 歯を削る量が少なく、治療回数を減らすことが可能
- すきっ歯などの軽度の歯並びの改善が可能
- ホワイトニングに比べ色の後戻りがない
- 健康な歯を少し削る必要がある
- 接着剤で固定しているため脱落するリスクがある
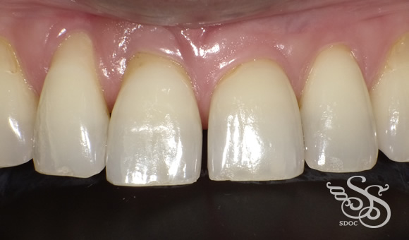
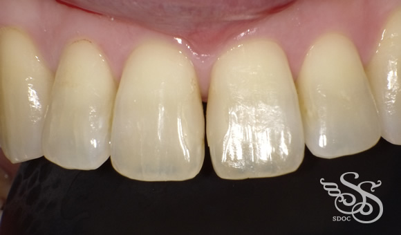
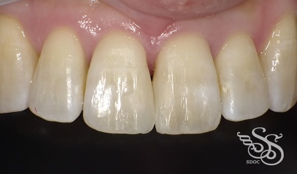
ラミネートべニア症例

術前

術後
ダイレクトラミネートべニア症例

術前

術後
他にも、「歯の一部が白く気になる……」という方へは、ホワイトスポットアイコンを用いた治療も行っております。また、「歯ぐきの隙間(ブラックトライアングル)が気になる……」という方へは、自由診療で白い樹脂を詰めて目立たなくするダイレクトCRを行います。
審美歯科とは?
歯科的機能回復(良く噛める)だけではなく、美しさと自然な口元にも焦点を当てた、総合的な歯科治療のことです。当院ではすべての歯のバランス、ひいては顔全体のバランスを考えながら、ミクロン単位にこだわった治療を心がけています。
また、歯を削るときもできるだけ歯へのダメージが少なく、患者さまの身体にできるだけ負担をかけないで治療できるよう、常に意識しています。さらに、技工士さんと写真により情報共有することでスマイルラインや黄金比など口元をより美しく魅せるように綿密に計画します。
「患者さまのひとつ上の笑顔のため」に機能と美しさを兼ね備えた理想的な口元をプロデュースしますので、お気軽にご相談ください。
審美歯科の必要性
審美歯科では白くて美しい見た目はもちろん、メタルフリー(金属を使用しない)のお口にすることでより健康的な毎日を送れるようになります。
銀歯の被せ物や詰め物を使用すると以下の問題が引き起ることがあります。
- コヒーラ現象
- 身体の不調
- 歯ぐきの黒ずみ
- 金属アレルギー
- むし歯の再発リスクが高まる
保険診療で一般的に使用される銀歯は、金銀パラジウム合金を使用しており車のエンジンブロックなどに使用される固い金属です。スマートフォンなどの電磁波が近づくと電気が流れるコヒーラ現象を起こすともいわれています。そして、お口の中の電圧が高まることで、肩こり、偏頭痛、耳鳴り、不眠を誘発するリスクが高まります。
また、銀歯が古くなるとイオン化してお口の中に溶けだすこともわかっており、周辺の歯肉を刺激して炎症を起こし、痛みや歯ぐきの黒ずみの原因になります。さらに、溶けだした金属が身体に蓄積して金属アレルギーを引き起こすこともあるのです。
加えて、歯と被せ物(保険診療の銀歯)よりも歯とセラミック(審美歯科)の方がぴったりと隙間なく接着できるため、むし歯の細菌が入り込むリスクが少ないのです。修復物の種類により歯の寿命を左右することもわかります。
ドクターエピソード
歯科の勉強会での出来事でした。FACE(ナソロジースタディグループ)という会での症例報告時「なぜ日本人はこんなにメタルフィリングが多いんだ」とアメリカのドクターに指摘されました。
そのような経験から『日本人の口から銀色をなくしたい!』との思いで審美歯科にも力をいれています。
安心の10年保証
当院の詰め物・被せ物の治療では、術後、10年間の保証をつけています。通常の使用で破損や脱落、不適合などが生じてしまった場合はもちろん、偶発的な場合(転倒による歯の破折、貝に石が入っていて咬んだらかけた等)でも支障が生じた場合、術後5年間はすべて無料で再治療を行っています。
5年目以降は以下の負担率での保証になります。
| 5~6年目 | 医院50% | 患者さま50% |
|---|---|---|
| 6~7年目 | 医院40% | 患者さま60% |
| 7~8年目 | 医院30% | 患者さま70% |
| 8~9年目 | 医院20% | 患者さま80% |
| 9~10年目 | 医院10% | 患者さま90% |
ただし、4ヶ月に1度の定期健診を受けていることが条件となります。
よくあるご質問Q&A
審美歯科全般に関する質問
- どのくらいの期間で治りますか?
- 最短2回ですが詳しくは診断後の判断になります治療する歯の本数、内容によってかなり異なります。単純にかぶせるだけなら最短2回ですが、より綺麗に治すために回数がかかることもあります。当院では、なるべく治療期間、回数を減らすように努力しておりますが、詳しくは診断後の判断になります。
- 真っ白な歯で笑顔に自信を持ちたいのですが、費用が心配です。
- 最小限におさえた費用をご提示いたします歯を治療するにあたり、経済的負担を考慮することも大切な要素だと考えています。当院では、予算に応じて「ここは保険で」「ここは部分的なつめもので」とプランニングし、最小限におさえた費用をご提示いたします。
またクレジットカードのお支払や、分割払いのデンタルローンも可能です。 - 審美歯科治療に保険は適用されますか?
- 保険は適用できません歯科診療は保険診療と自費診療に分けられるのですが、審美歯科治療は、使用する材質によって保険の適用外になります。しかし、保険が適用されるレジンや金属より、保険外ではあってもセラミックの方が美しく耐久性があります。
セラミック治療に関しての質問
- 銀歯を目立たなくする方法はありますか?
- セラミックインレーという方法があります銀歯の詰め物を一度はずし、白く透明感の高いセラミック製の素材に詰め替えることにより、自然な色合いになります。詳しくは奥歯の詰め物の項目をご覧下さい。
- セラミックは変色しませんか?
- オールセラミックなら変色しませんセラミックとは陶材のことで、ご存知のように食器などに使用されている素材です。当然、陶器と同じように水分の吸収が無いため、変色せず歯を白く保つことが可能です。またセラミックの最大の特長は、他の素材に比べて天然の歯に最も近い色調と透過性を再現できることです。もし、治療後の歯を自然な色合いに仕上げたいとお考えなら、セラミック治療をお勧めいたします。
- 歯と歯の隙間が気になるのですが・・・
- ラミネートベニアという方法がありますいわゆる"すきっ歯"には、歯の表面を薄く削り、セラミックを接着し修復する「ラミネートベニア」という治療方法があります。歯を削る量も少量で済み、治療回数も2回程度で歯と歯の隙間を治すことができます。とはいえ、剥がれる可能性があったり、歯の大きさや向きを大幅に変更したりすることはできません。
- 奥歯をセラミックにしても割れませんか?
- セラミックは基本的には天然の歯と同等か、それ以上の強度がありますので問題ありません。被せ物や詰め物に使用可能です。ここ最近では、お口を開けた時に見える金属をきらい、奥歯にも審美的に綺麗な白い歯を求められる方が増えてきています。ただし歯ぎしり食いしばりの強い方は、割れるリスクもあります。
- 金属アレルギーなのですが、治療できますか?
- 金属アレルギーの方も安心して治療できますセラミッククラウン・セラミックインレー・レジンなどの素材は金属製ではないため、金属アレルギーの方も安心して治療できます。当院では、患者さまがどの金属にアレルギーを持っているかを大学病院に依頼して分析し、症状やご希望に合わせた最適な素材を選択します。
- かぶせものは、歯ぐきが黒く変色するとお聞きしたのですが・・・
- オールセラミックなら黒くなりませんオールセラミッククラウンなら、歯ぐきとの境目も黒くなることはありません。さらに、土台を金属製ではなくファイバーコアにすることで、さらに自然に仕上がります。なお、どちらも金属を使用しないため、金属アレルギー体質の方でも安心して使用できます。
- 治療期間中、歯のない期間がありますか?
- 仮歯の期間があります歯のかぶせものを外したり削った後は、仮の歯を入れます。普段の生活には支障はありませんのでご安心ください。また、装着した仮の歯を参考に最終的な歯の形態をご相談しながら決定します。





