「歯並びが長年コンプレックスになっている」という方、ぜひ矯正治療で美しい口元をつくってみませんか?矯正治療に年齢制限はなく、お口の中が健康な状態であれば何歳からでもはじめることが可能です。
当院での矯正では、正面からの美しさはもちろん、左右対称でありながら見る角度によっても「はっとする美しさ」をめざしています。当院スタッフは矯正治療経験者が多数在籍しており、スタッフの歯並びも院長が治療を担当しております。歯並びのお悩み、矯正治療の疑問がある方は、お気軽にご質問ください。
当院で取り扱う矯正装置の種類
ライフスタイルに合わせ、目立ちにくい矯正装置やオシャレを楽しめる装置まで、さまざまな矯正装置をご用意しております。
白いブラケット
表側矯正装置であっても治療中に「他人に知られたくない」という患者さまには、白いセラミック製や、コンポジット製(プラスチック)のブラケット装置をご用意しています。
ひと昔前までは歯の表面につける四角い装置(ブラケット)は金属でできたものが主流でした。しかし、「ギラギラして目立つ……」と気になり矯正治療に一歩踏み出せない方もいらっしゃったと思います。目立ちにくい矯正装置をお探しの方はお声かけ下さい。
※金属の装置に比べて少し値段が高くなります。リーズナブルに矯正治療にトライしたいという方には、金属の装置も選択いただけます。
白いワイヤー
ご希望の患者さまには、歯の表面に固定する銀色のワイヤーを白色へ変更することも可能です。一時的に白いワイヤーへの交換が可能ですので、結婚式や写真撮影などの人生の大切なイベントもお口元を気にせずに楽しむことができます。
※ワイヤー1本1,000円で交換可能です。
カラーゴム
ワイヤー矯正を選択いただいた患者さまには、カラーゴムもご用意しています。
通常、クリアなゴムでワイヤーを固定しますが、
ご希望の患者さまには、カラフルなゴムを用いることで口元をオシャレに演出することも可能です。
当院の矯正治療の特長
ワイヤー素材のこだわり
矯正治療はゆるやかですが歯を動かすために力がかかるため、治療中は「歯が締め付けられるような感覚」や「ズキズキした痛み」、「歯が浮いたような違和感」が引き起ることがあります。
そこで当院では歯にかかる圧力を軽減するために痛みに優しいワイヤー「ヒートアクティベイトワイヤー」や「ゴムメタルワイヤー」を採用しています。
他にも「ニッケルチタンワイヤー」とよばれる形状記憶合金でできたワイヤーにより、やさしい力でじわじわと歯を動かすことも可能です。
さらに、上記の既製品のワイヤーではなく「スタンダードエッジワイズ法」を採用しており、患者さまに合わせて院長がワイヤーの形状を曲げたものを使用することもあります。これにより細部までこだわることができ、見た目の美しさを追求します。
抜歯・非抜歯の選択・抜き方の工夫
「矯正治療で歯を抜くの?」と気になっている方も少なくありません。当院ではできるだけ抜歯をせずに矯正治療を進めることを第一選択としています。無理に抜歯をすすめることはありませんので、最終的には患者さまに決定いただきます。
ただし、歯を美しく並べるため時には、どうしても抜歯が必要なケースもあります。このようなケースでは、抜く歯にもブラケットを装着した状態で、2~3か月じっくりと揺らした後に抜歯します。こうすることで抜歯の痛みを極力軽減でき、患者さんご自身の負担軽減や低侵襲な治療へつながります。
矯正治療中の清掃・歯磨き指導
矯正治療が直接的な原因ではありませんが、適切な歯磨きが行えていないと歯列矯正中にむし歯になる方もいらっしゃいます。装置でどうしても磨きづらい場所があるため、当院では毎回の診療時はもちろん、歯磨きに自信のない患者さまに対しては1~2週間ごとに「PMTC(歯石除去・歯面清掃)」や歯磨き指導を行っております。
PMTCはProfessional Mechanical Tooth Cleaningの略称です。専用器具とフッ素配合の研磨ペーストを用いてむし歯の原因となるプラークや歯石・着色を除去します。
一般歯科にもワンストップで対応可能
特に、成人矯正では歯周病やむし歯の処置など、歯科の総合的な知識が不可欠です。矯正専門の歯科医院では、抜歯やむし歯の処置は他院へ紹介されることもあり、2度手間、3度手間になりかねません。
当院は矯正のみではなく、むし歯、歯周病、便宜抜歯、親知らずの抜歯、かぶせ物、詰め物が多い方など、一般歯科にもワンストップで対応可能です。
このような手間を当院では、いち院内で同時に解決できます。歯並びや噛み合わせを整えることはもちろんですが、患者さまの歯・お口の健康を守ることができるのも一般歯科診療に対応できる当院の強みです。
当院での矯正症例
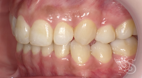
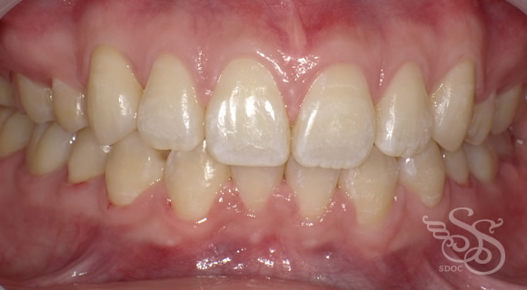
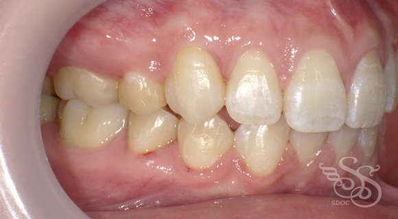
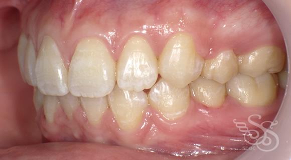
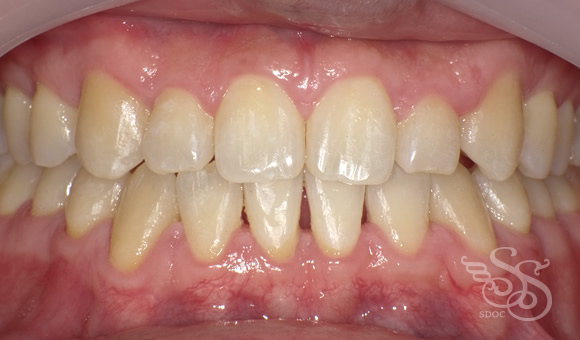
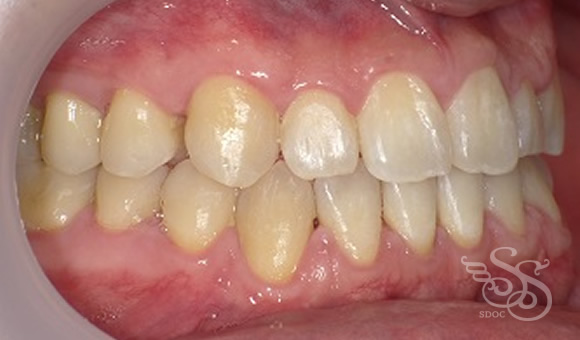
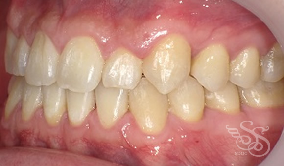
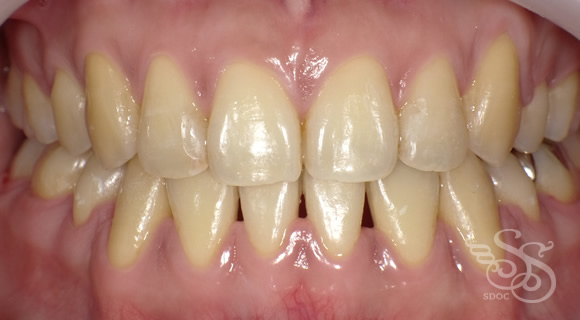
久しぶりに会った友人に「整形した?」と言われた患者さま

術前

術後
この症例をもっと詳しく見る

術後

術後

術前

術後

術前

術後

術前

術後

上顎前突(出っ歯)ClassⅡ
口元:術前

口元:術後
この症例をもっと詳しく見る
正面:術前

正面:術後
右側:術前

右側:術後
左側:術前

左側:術後
下顎前突(受け口・反対咬合)ClassⅢ
正面:術前

正面:術後
この症例をもっと詳しく見る
右側:術前

右側:術後
左側:術前

左側:術後
口元:術前

口元:術後
開口(オープンバイト・前歯が閉じない)
正面:術前

正面:術後
この症例をもっと詳しく見る
右側:術前

右側:術後
左側:術前

左側:術後

口元:術前術後
過蓋咬合(咬み合わせが深い)Deep BT
過蓋咬合:術前

過蓋咬合:術後
この症例をもっと詳しく見る
右側:術前

右側:術後
左側:術前

左側:術後
過蓋咬合の口元:術前

過蓋咬合の口元:術後
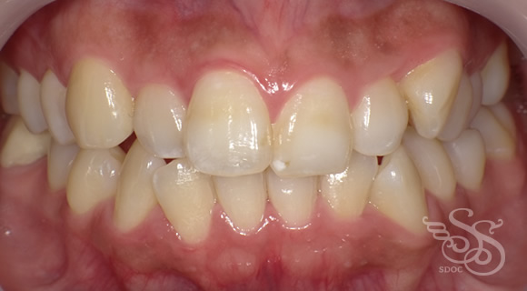
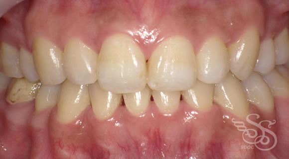
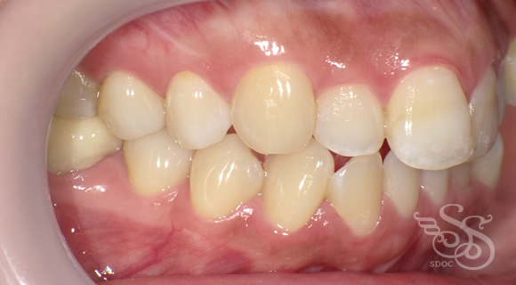
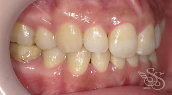
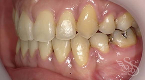
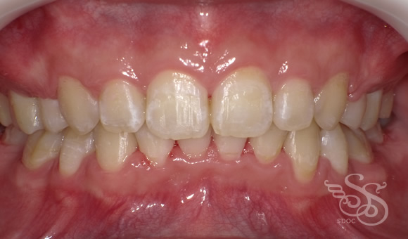
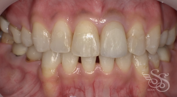
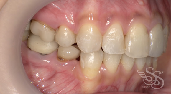
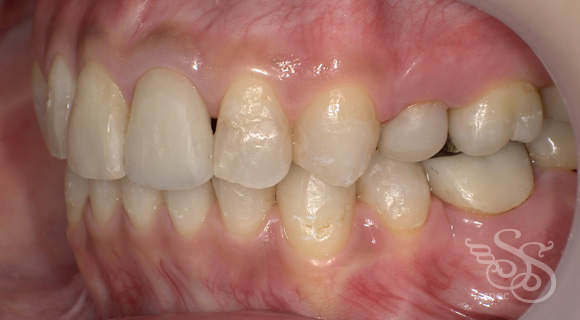
修復物が多い方の矯正
横顔:術前

横顔:術後
この症例をもっと詳しく見る
口元:術前

口元:術後
正面:術前

正面:術後
右側:術前

右側:術後
左側:術前

左側:術後
レントゲン:術前

レントゲン:術後
コラム世界と日本:歯並びへの考え
日本は先進国のひとつですが、歯並びへの関心は低く、他の先進国よりも遅れているといわれています。たとえば、日本では八重歯(悪い歯並び)がある方を「かわいい」「チャームポイント」と捉えるほど、悪い歯並びであっても前向きな考えを持っています。
一方で、欧米では八重歯を「ドラキュラ」「吸血鬼」といった印象に持たれることが多く「八重歯=かわいい」という日本のような認識がありません。そればかりか世界では「歯並びがよい」がスタンダードのため、歯並びの見た目で第一印象を決められることもしばしばです。グローバルで活躍したい方は、歯並びのよさはとても重要なのです。
海外勤務の長い方、CAさんやモデルさん等、世界を相手に仕事をされる方が多く通われているのも当院の特長です。お気軽にご相談ください。
ドクターより:印象的な患者さまのエピソード
20年以上前の話ですが、40代の男性商社マンのお話です。
ご自身の歯並びは気にされていたそうなのですが、なかなか矯正治療に一歩踏み出せなかったそうです。そんな中、取引先のアメリカ人に「お前は出っ歯で、つばが飛ぶからしゃべるな」と言われたそうです。
「歯並びで人格、仕事、キャリアを否定されたくない、すぐに矯正をしてほしい…」そんな強い思いで当院に駆け込まれました。
患者様の頑張りもあり、治療終了後、お口元は見違えるほどキレイになり、お仕事も順調だそうです。
世界では歯並びの良さがクラスを証明する、同じ階級の人としか付き合いたくない。そんな印象を持つ患者様の出来事でした。
今はもっと時代が変わっています。もう誰も八重歯が可愛いとは思いません。
世界を舞台に活躍したいと考える方には矯正は必須ですね。
矯正治療の流れ
カウンセリング
歯並びやお口の健康状態を確認させていただき、現時点で考えられる治療方針をお話しいたします。
インフォームドコンセント(よく説明し、納得した診療を受けて頂く)でお時間をいただくこともありますので余裕を持ってお越しください。矯正相談は無料です。
まずは、お気軽にお電話でご予約ください。
精密検査
お口の中の写真撮影、歯の型取り、レントゲン(セファロ、CT)撮影を行います。
また、機能的な異常が認められる場合は、咬合器にマウントしMPIにて診断します。
治療計画の決定・ご契約
精密検査をもとに患者さまの治療方針を決定いたします。社会生活、学校、お仕事なども考慮に入れながら、何通りかの治療プランを提案させていただきます。
治療計画にご同意いただければいよいよ歯列矯正の開始です。
また、ご賛同頂ければ、その日のうちに装置を作る準備を行ったり、ブラケットを装着するケースもございます。
治療開始
装置装着は可能であれば上下顎同時に行います。下顎にスペースがない場合は上顎先行となります。抜歯ケースの場合は、左側と右側とで2回に分けて行います。
矯正専門医院では他医院にて抜歯後、装置を着けますが、当医院では抜歯をする歯にもブラケットを装着し2~3ヶ月揺らしてから抜歯を行います。こうすることで簡単に抜歯が出来、痛くなく患者さまの負担少なくなります。
治療期間は2年±6ヶ月くらいですが、歯並び、骨密度によって個人差はあります。通院ペースは平均1ヵ月に1回です。
保定
理想的な歯並び(個性正常咬合)が完成したら、ワイヤーやブラケットなどの装置は外します。しかし、歯は元の位置に戻ろうと「後戻り」する性質があるため、歯並びを安定させるために保定期間を設けています。
取り外し式、もしくは一部固定式(歯の裏側)の保定装置(リテーナー)を使用して歯並びを安定させます。基本的にリテーナーは上顎は昼間は透明なもの、夜間はBeggタイプ(ワイヤー+床型)、可能であれば裏側から細いワイヤーで固定。下顎は舌側にワイヤー固定。保定の段階になると2~6ヶ月に1回の通院になります。
最初の1年程度は基本フルタイムの使用です。徐々に昼の装着時間を減らしながら、最低でも動かした期間分の保定は必要になります。
また、ご希望の方には保定期間中にホワイトニングもご案内させていただきます。
よくあるご質問Q&A
- 上の前歯の並びだけが気になるのですが、部分的な矯正はできますか?
- ケースにより可能です部分矯正はケースにより可能です。しかし、気になる歯だけに装置をつけるのではなく、全体の噛み合わせを考えてご提案させていただきます。
- いま虫歯があります。矯正治療と一緒に虫歯の治療はできますか?
- まず虫歯治療を行う必要があります虫歯がみつかった場合、矯正装置を付ける前に虫歯を治療する必要があります。多くの矯正専門医院では、矯正の治療しか行っていません。仮に矯正治療の過程で、抜歯や虫歯の治療が必要になった場合には、他の一般歯科医院を紹介してもらう必要があります。
いっぽう、当院は一般歯科も行う矯正歯科医院です。矯正治療と同時に、抜歯や虫歯を治療できるので、他の医院で治療を受ける必要はなく、当医院内でワンストップで解決できますのでご安心ください。また高度な歯周病治療や審美歯科治療なども行なっておりますので、歯並びの改善を含めた包括的な治療が可能です。ぜひ一度、お気軽にご相談ください。 - 矯正歯科の治療費も医療費控除の対象になりますか?
- 認められます診断時にお渡しする治療計画書のコピーを控除申告時に添付していただいております。医療費控除は、1月1日~12月31日の1年間に支払った医療費が10万円を越えた場合の超過分に対して適用されます。ただし、年間所得が200万円未満の場合、所得×5%を基準として超過分に対して適用されます。
※詳しくは、国税庁のHPをご覧ください。
国税庁HP:https://www.nta.go.jp/ - 矯正の治療中に引っ越した場合は、どうすればいいですか?
- 近隣の医院へ治療継続を依頼いたします当院へ通院していただくことが不可能な地域への引っ越しでしたら、引っ越し先近隣の矯正歯科医院への継続治療の依頼をしております。
- 装置が壊れたらどうすればいいのですか?
- お早めにご連絡ください次回のご予約日を待たずにお早めにご連絡ください。矯正装置は矯正中に破損することもありますのでご理解ください。
- 矯正装置を着けたら、食べ物の制限はありますか?
- 一部注意する食べ物があります食べてはいけないものはありませんが、ガムやキャラメル、グミなど粘性の高い食べものはワイヤーに絡まることがあるため控えることをおすすめします。
- 矯正装置をつけたままスポーツや楽器の演奏はできますか?
- 可能ですが、注意が必要ですトランペットのように唇にマウスピースを押しつけるタイプの楽器は、表側矯正で痛みを生じることがあります。スポーツでは格闘技が要注意です。こういった場合は、装置をガードする歯科用マウスピースを使って対応することができますので、治療前にご相談ください。
- 矯正歯科治療中に妊娠しても大丈夫ですか?
- 大変な時期は避けるのがおすすめです治療が問題になることはありませんが、つわり中や長時間座るのが大変な時期は避けるのがおすすめです。
また、当院では最新のデジタルレントゲンを導入しており、従来のレントゲンに比べてX線量が10分の1程度で済みますが、妊娠の可能性がある場合は必ずご申告ください。 - ブリッジや差し歯があります。矯正歯科治療はできますか?
- 当院で前処置により対応可能ですブリッジの歯を動かす必要がある場合、一度ブリッジをはずし、1本1本の歯に装置を付けることがあります。差し歯の場合は比較的問題はありません。天然歯に比べると、修復物は接着剤がつきにくいため、治療途中に矯正装置がはずれることもあります。その際には、再着をしますのでご安心ください。
- しばらく通院できなくても大丈夫ですか?
- 問題ありませんが、治療が遅くなります装置が破損せず、歯磨きが適切に行われていれば問題ありません。ただし、出産やけがのための入院や、短期間の留学や受験など治療期間が空いてしまう場合は、治療の進行が遅くなります。
※矯正再治療の場合は装置料を優遇しています。
また、兄弟割、親子割がありますのでご家族でぜひ通院ください。
(高校生以上の方で、親子や兄弟が同時期に矯正治療しているケースに限る)





